청담별의원
청담별의원
노스카 성형
신경차단
얼굴 이물질제거
안면성형
체형성형
커뮤니티
청담별의원
청담별의원소개
의료진소개
진료과목/시간
병원둘러보기
찾아오시는길
노스카 성형
노스카 코성형
노스카 눈성형
신경차단
종아리 신경차단
미간 신경차단
사각턱 신경차단
얼굴 이물질제거
이물질제거수술
초음파검사&
제거된 이물질
제거후 복원
안면윤곽
파워리프팅
흉터&주름성형
노스카 인중성형
체형성형
가슴 성형
지방이식 & 흡입
핫바디 & 식스팩 주사
커뮤니티
온라인상담
온라인예약
리얼스토리
수술전후사진
이물질전후사진
동영상후기
고객후기
공지사항
HOME > 온라인상담 >
수술전후사진
작성일 : 13-01-04 15:20
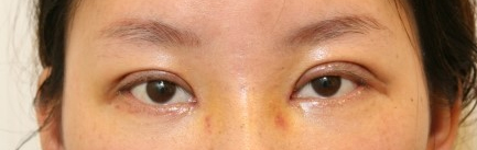
[비절개눈성형] 12/12/22 쌍커플 수술 전후
글쓴이 :
METOP
조회 : 3,823
12/12/22 쌍커플 수술전후사진 (수술 받으시고 일주일 후 사진임)